For responsible breeders, monitoring pregnancy goes beyond confirming conception—it’s about ongoing care, safety, and ethics. Performing a canine pregnancy ultrasound at home allows you to keep a close eye on your dog’s health throughout gestation, including watching for serious but often silent developments like fetal resorption.
This article explores why home ultrasound scanning is a vital tool for any breeder who wants to give their dogs the best chance at a healthy pregnancy—while staying compliant with US laws.
What Is Fetal Resorption and Why Should You Monitor It?
Fetal resorption (also known as reabsorption) occurs when a fetus dies during pregnancy and is absorbed by the mother’s body. This typically happens before day 45, and there may be no outward signs. Causes can range from infections or hormonal imbalance to genetic abnormalities or simple natural variation.
Without routine ultrasound scans, this kind of pregnancy complication can go completely undetected—putting the dam’s health at risk and causing confusion about litter size or due dates.
The Benefits of Canine Pregnancy Ultrasound at Home
Performing a canine pregnancy ultrasound at home comes with powerful welfare advantages:
-
No stressful clinic visits—keep your dog relaxed in a familiar environment
-
Immediate access to fetal development tracking
-
Better detection of complications like singleton pregnancies or fetal resorption
-
Stronger connection to your breeding program
-
More informed decision-making when managing nutrition or health support
It’s also worth noting that in the US, only licensed veterinarians may scan animals that do not belong to them. However, breeders are allowed to scan their own dogs, making at-home ultrasound not just beneficial—but legally appropriate in this context.
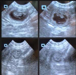
A Real-Life Case: The Value of Regular Home Monitoring
Recently, experienced breeder Joanne Smith shared a powerful example of how regular scanning at home can change outcomes. She was monitoring a singleton pregnancy with her ScanPad ultrasound machine when she discovered that the fetus was no longer viable.
Thanks to her previous scans, she was able to document the process of fetal resorption with before-and-after images—something rarely captured so clearly. This insight allowed her to continue monitoring the dam without unnecessary transport or stress, reinforcing how vital at-home canine pregnancy ultrasound can be.

Joanne’s images (above) clearly show the process of resorption.
Joanne is still using the same ScanPad she was recommended after completing her pregnancy scanning course over six years ago. Its longevity and image quality are a testament to the ScanPad’s reputation for durability and professional-grade performance—ideal for breeders scanning their own dogs.
Post-Abortion Monitoring: An Essential Welfare Step
If your veterinarian prescribes medications to end an accidental or high-risk pregnancy, it’s essential to follow up with periodic scans. Even when meds are used correctly, it’s possible that not all fetal material will clear. Performing a canine pregnancy ultrasound at home after administration allows you to confirm resorption and ensure your dog’s safety—all without a stressful clinic visit.
Training and Equipment: The Foundations of Ethical Breeding
Breeding ethically doesn’t stop at knowing your lines—it includes understanding your dog’s body, potential risks, and what to look for during pregnancy. That’s why we strongly recommend pairing high-quality equipment with professional training.
When done right, canine pregnancy ultrasound at home empowers breeders to:
-
Monitor progress throughout pregnancy
-
Detect fetal resorption or viability issues early
-
Decide when veterinary intervention is needed
-
Reduce stress and improve outcomes for both dam and pups
The ScanPad, available through our store, has earned its place as one of the most trusted scanners among breeders. Its reliability, portability, and diagnostic image quality make it a smart investment for anyone committed to doing things the right way.
Final Thoughts
With the right tools and training, performing a canine pregnancy ultrasound at home supports animal welfare and strengthens the integrity of your breeding program. From detecting complications like fetal resorption to providing peace of mind with progress scans, you can give your dogs the care they deserve—without leaving your living room.